3D DIGITALNO SNIMANJE ZUBA
Precizna i moderna dijagnostika u Banja Luci

Vase Pelagića 4
78000 Banja Luka
+387 51 212 661
+387 66 449 621

Radno vrijeme: 09:00 – 19:00
Subota i nedelja neradno
O našem dijagnostičkom centru
Cranex je dijagnostički radiološki centar specijalizovan za digitalno snimanje zuba i pouzdan partner stomatolozima i pacijentima od 2004. godine.
Koristimo savremene digitalne uređaje koji omogućavaju najmanju dozu zračenja na tržištu, a svi snimci – uključujući CBCT, ortopan, telerendgen, RVG snimke, scanogram i druge, dostupni su odmah nakon snimanja.
Nalazimo se u samom centru grada, što našim pacijentima omogućava jednostavan pristup i brzu uslugu.
Sa više od dvije decenija iskustva i stalnim ulaganjem u tehnologiju, Cranex ostaje mjesto gdje se preciznost, sigurnost i profesionalnost podrazumijevaju.
Bez naručivanja
Minimalna doza zračenja
Snimke dobijate odmah
Usluge dentalne dijagnostike
U Cranex-u pružamo kompletnu dijagnostiku digitalnog snimanja zuba,
zasnovanu na preciznoj tehnologiji sa minimalnom dozom zračenja. Cijene naših usluga možete pogledati ovdje.
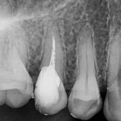
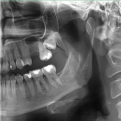
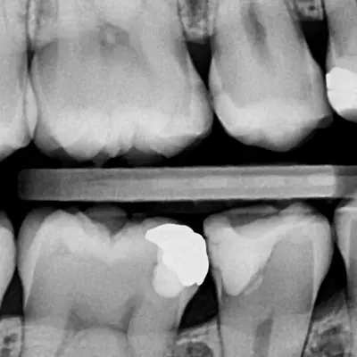
Napredno CBCT (3D) snimanje zuba
U Cranex-u koristimo Vatech Green X 12, jedan od najnaprednijih CBCT i panoramskih sistema na tržištu.
Ovo je vrhunski 4-u-1 digitalni rendgen sistem koji kombinuje CBCT 3D skeniranje, panoramsku i cefalometrijsku (Ceph) snimku, kao i scan modela – sve u jednom uređaju. Dizajniran je da zadovolji potrebe modernih stomatoloških ordinacija i klinika, posebno u implantologiji, endodonciji i oralnoj hirurgiji.
Sa naprednim Smart Focus sistemom i ultra-visokom rezolucijom, Green X 12 otkriva i najsitnije detalje. Rezultati su jasniji, brži i tačniji, što našim doktorima omogućava da planiraju terapiju sa najvećom sigurnošću i predvidljivošću.

Zašto je Green X 12 poseban?
- Jedno skeniranje daje do 5 različitih visokokvalitetnih slika
- Izuzetno čiste i jasne 3D slike i panorame
- AI asistiranu analizu za precizno planiranje terapije
- Endomod koji omogućava izuzetno detaljne 3D prikaze
- Laserska preciznost u planiranju implantata
- Najmanja doza zračenja na tržištu
- Udobnije i brže snimanje za pacijenta

1 snimanje = 5 slika
Ai asistirana analiza
Ultra HD snimci








